Richard Scott
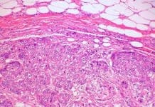
Cervical Cancer Screening Should Continue Past Age 65
Rates of cervical cancer actually remain at the same level until the age of 85, after which disease incidence begins to drop sharply.
Vitamin D Deficiency May Cause Early Menopause
The study researchers discovered a stark benefit among women who consumed high levels of the essential vitamin.
Pet Dogs Help Children Feel Less Stressed
You may want to think twice the next time you send your pooch to the doghouse.
Stretching Too Long May Cause More Harm Than Good
Here's why you may not want to hold that stretch for too long.
Cinnamon May Protect Against Damage From High-Fat Diets
Multiple studies have linked cinnamon to diabetes prevention and healthy insulin levels, and there appears to be a biochemical explanation at play.
Wireless Router Senses How You Walk and How Healthy You Are
The device, called WiGait, can monitor and track a person's walking speed and movement without the need for a wearable.
This New Fabric Repels Grease Stains
Good news for pizza lovers — this new nanotech fabric is oil and grease-resistant.
Grandparents Could Be Putting Children’s Health at Risk
A survey of grandparents found that many who help raise their grandchildren aren't up to speed on modern child-rearing practices when it comes to safety standards.
Marijuana May Reverse Brain Aging, Boost Memory: Study
Researchers discovered that regular administration of THC among mice led to a significant reversal in the natural aging process of the brain.
His and Her Genes Reveal Key Differences in Our Bodies
The researchers noticed marked differences among some genes based solely on whether the genes were in a man or woman’s body.
Children Learn Equally From Reading Digital and Print Books
Although in a computerized format, digital books show no advantage compared to print books when it comes to children learning from them.
Researchers Are Developing Machines to Smell How Healthy You Are
Researchers believe scent-based technology holds vast promise in improving health outcomes due to the possibility of early detection.
Bullying Tied to Spike in Cosmetic Surgery
The researchers believe the new study holds public health ramifications beyond just the increasing number of teens who go under the knife.
Through Tears, Jimmy Kimmel Recounts Newborn Son’s Terrifying Heart Scare
Jimmy Kimmel's son was born with a condition known as tetralogy of Fallot, commonly referred to as having a hole in one’s heart.
At-Home Blood Pressure Monitoring Devices Are Often Inaccurate
A study found that home-monitoring systems often failed to record an accurate measurement of blood pressure, which could lead physicians to mistakenly believe a patient’s numbers are better than they appear.
Stairs Are the New Coffee Break at Work
Feeling that afternoon slump at work? Here's why you may want to put down the coffee and hit the stairs.
Salmonella Is No Longer King of Food Poisoning
The bacteria that now outranks salmonella is found naturally in the intestines of chickens, cattle and other animals.
Diet Soda May Be Linked to Stroke, Dementia
A study found that those who consumed artificially sweetened beverages on a daily basis were about three times as likely to experience a stroke or develop dementia compared to people who consumed diet drinks less frequently.
Tapeworm Therapy Helps Boy With Autism
After consuming tapeworms under the supervision of an American physician, a four-year-old boy with autism saw improvements in his behavior and cognitive functioning.
An Apple a Day Could Keep Diabetes Away
Eating fresh fruit everyday was found to positively impact both diabetes and overall mortality risk.
Eating Salty Food Increases Hunger, Not Thirst
A new study disproves that the more salt you eat, the thirstier you become.
Study Finds No Link Between Antidepressants and Autism
Researchers found no direct link between antidepressant usage and autism risk during pregnancy, but there may be risk implications associated with a mother's mental health.
Smart Bandages That Monitor Wounds Are Getting Closer to Trials
The smart bandages would report their analysis through a regular broadband network and are designed to monitor an array of physical attributes.
Sleep Disruptions Can Wipe Away Memories
Researchers from the University of Michigan believe they’ve zeroed in on the cause of memory mishaps.
Can Setting Off Nano Explosions Within the Body Kill Cancer Cells?
By tapping into the body’s cellular functioning, the nanoparticle method can act in a way that doesn’t promote a defensive response from fast-growing cancer cells.
Why Are Kids Drawn to Superheroes?
Researchers found that children wield a fine-tuned sense of justice and can recognize acts of heroism as early as six months of age.
Glass Batteries Could Soon Power Our Devices
The man who helped to invent the lithium-ion battery has now introduced a more efficient, fast-charging glass battery that could soon make its way to market.
This Artificial Lung Can Fit Inside a Backpack
The artificial lung is small enough to be carried in a backpack and is the first of its kind to actively drive up the patient's oxygen levels.
Excessive Sleep Linked to Higher Death Risk for Breast Cancer Patients: Study
Breast cancer patients who slept nine or more hours per night had a 46 percent greater chance of dying compared to women who slept eight hours or fewer.
Brain Stimulation Can Boost Honesty, Limit Selfish Feelings
People who received the transcranial current on a specific region of the brain were less likely to cheat than people who didn’t receive the brain stimulation.
At-Home DNA Test Can Reveal Risk for Hereditary Conditions
The newly FDA-approved test can analyze one's predisposition for certain hereditary conditions, like celiac disease and Alzheimer's.
Breath Test May Soon Be Able to Detect Flu Virus in Minutes
Combining the high-tech elements into one device gives the new test a significant advantage over current detection methods, which take hours to diagnose the virus instead of minutes.
New Brain-Scanning Device Can Detect Bleeding After Trauma
The new head-scanning device can detect brain bleeding with 97 percent accuracy.
Researchers Are Developing Contact Lenses that Can Detect Disease
With bio-sensing contact lenses that can assess blood glucose levels, the researchers hope to improve health outcomes by replacing older, painful methods of diabetes monitoring.
Celiac Disease Induced By Common Virus: Study
When given to mice, an infection known as reovirus sparked an inflammatory response that led the immune system to “overreact” to gluten and essentially bring on celiac disease.
Seasonal Flu Shots Significantly Reduce Risk of Pediatric Death: Study
Among children with underlying medical conditions, the seasonal vaccine cut the risk of death by more than half.
These Countries Have the Fewest Crying Babies
Researchers are studying why babies in Denmark, Japan and Germany cry the least over the first 12 weeks of life, whereas babies in Canada, England and Italy cry more.
Add Legumes to Your Diet to Cut Diabetes Risk, Suggests Study
Eating about one-and-a-half servings of legumes per week was associated with a 35% reduced risk of developing diabetes.
Sex, Weight Mismatches May Lead to Organ Transplant Failures
The new research sheds light on the complex variables that make a good match for organ donation.
Breast Cancer Grows More Rapidly in Obese Patients: Study
The new study suggests that cancer essentially thrives in an environment full of fatty tissue.
Music Therapy May Reduce Pain After Surgery
Patients recovering from surgery who received a live music performance, which was tailored to their musical preferences, all reported a drop in pain level.
Most Cookbooks Lack Sufficient Food-Safety Information, Study Says
The study authors found a particular grievance with a common characteristic of cookbooks: using the duration of cooking in place of an internal temperature reading.
Measuring Brainwaves May Predict Reading Success in Children
Researchers noticed a unique pattern of brain activity among children who later achieved higher academic success.
New Facial Recognition Technology Can Detect Rare Disease
Diagnosing a rare disease in children called DiGeorge syndrome may be as simple as taking a photo with new facial recognition software.
Genetic Variant Tied to Greater Obesity Risk in African Americans
The new focus opens up additional opportunity for understanding — and perhaps preventing — rates of obesity among African Americans.
Scientists Grow Beating Heart Cells on Spinach Leaves
The key to the new research rests on the methods by which plants, such as spinach, transport fluids and other substances.
Smartphone App Claims to Accurately Test Male Fertility
The fertility analyzer uses an “optical attachment” that plugs into a smartphone and a one-use device to collect a semen sample.
Breast Implant Type May Increase Risk of Developing Rare Cancer
The FDA believes that evidence it has gathered since 2011 regarding breast cancer cases is enough to warrant a new designation for the rare type of T-cell lymphoma that can occur following breast implants.
Deadly Spider Venom Holds Promise as Stroke Treatment
The results so far, gained in studies on rats, show a powerful way to limit the effects of stroke damage.
The Key to Lower Blood Pressure Might Be in Your Inbox
After 12 months of web-based interventions, the study group saw their average systolic pressure drop closer to the normal blood pressure range.




























































