Danielle Tarasiuk
Why You May Want to Drink Water Before Coffee in the Morning
Not only will you quench your body’s thirst, but you'll also give your digestion and metabolism a boost.
Potty Protocol: Bidets May Improve Our Health and the Environment
Bidets are healthier, gentler and better for the environment than toilet paper. So why don’t more Americans use them?
World’s Heaviest Woman Finally Undergoes Life-Saving Surgery After Many Setbacks
From visa issues to transportation problems, Eman Ahmed's path to weight loss was full of roadblocks.
At-Home Teeth Straightening Can Lead to Permanent Damage, Experts Warn
Kids and teens are taking to YouTube to post videos on how to make DIY braces, making orthodontists worried for the potentially hazardous dental issues that often result.
Eating While Standing Could Make You Gain Weight
Researchers discovered that people who eat while standing up eat about thirty percent more calories than if they had been sitting down, which, with repetition, could cause weight gain.
Technology May Be Moving Faster Than Our Brains Can Handle
Read about the mental disorders that have arisen specifically from technology and Internet usage.
Mediterranean Diet May Reduce Risk of Breast Cancer
Researchers concluded that nuts, fruit and fish were most strongly inversely associated with one of the deadliest forms of breast cancer.
Try These 7 Foods for Healthy, Glowing Skin
If your skin is looking a little dull, try incorporating these foods into your diet to get that healthy glow back.
The Bittersweet Truth About Sugar Substitutes
From the natural to the artificial, here's a breakdown of sugar substitutes and where they fall on the glycemic index.
Your Laundry Is Probably a Lot Grosser Than You Think
Your laundered clothes may not be as fresh as you think — especially if you share your washing machine with a housemate.
Can This New Beauty Tool Really Zap Your Way to Perfect Skin?
Micro-currency has been popular in the beauty industry for years, but the ZIIP Beauty device uses a nano-currency, which vibrates at a lower yet more potent frequency.
Probiotic ‘Milk Test’ Could Reveal Effectiveness
There’s a test you can do at home to see if your probiotics are actually working — all you need is a glass of milk.
How One Woman’s Pain Inspired This Innovative Massage Tool
After studying her own body's chronic pain, Ashley Black was inspired to invent a massage tool that targets the tight fascia areas of the body and also works to diminish cellulite.
5 Probiotic-Packed Foods to Add to Your Diet
From kimchi to dark chocolate, here are some foods packed with probiotics that are good for gut health and microbiome balance.
Your Hearing Might Not Be As Sharp As You Think It Is
Nearly a quarter of people between the ages of 20 and 69 who think their hearing is either fine or excellent show signs of hearing loss.
Doctors Remove Large Cockroach Lodged Inside Woman’s Skull
The woman woke up in the middle of the night with a “crawling sensation” inside her head.
Smartphone Add-On Camera Lets You See Beneath the Surface of Your Skin
NURUGO's smartphone camera accessory and app can help people monitor their skin health and catch early signs of potentially dangerous conditions before they even become visible.
Do Noisy Eaters Drive You Crazy? You Might Have This Brain Condition
Brain imaging discovered that misophonia sufferers have an abnormality in their emotional control mechanism, which throws their brains into overdrive when they hear triggering sounds.
Ginger: The Superfood You’re Probably Not Eating Enough
Ginger root's antioxidant and anti-inflammatory properties make it a super food that you can easily incorporate into your diet through these seven delicious recipes.
‘Automated Dermatologist’ May Detect Skin Cancer With Same Accuracy as Real Doctors
The research team developed a deep learning computer system — or an algorithm-based technique — that could identify skin cancer at just a glance.
Girls Think They Aren’t as Smart as Boys by Age 6
Researchers are finding that children as young as six years old are aware of gender stereotypes, which is affecting how girls view their intelligence compared to their male classmates.
Brain Thickness May Determine Key Parts of Your Personality
The researchers determined that different traits were linked to the overall volume of the brain, the thickness of the cortex (the outer layer of the brain), and how folded the cortex was.
‘Adult Swaddling’ — The New Health Fad Bringing Stress Relief to New Moms
Japan's latest health trend is for mothers experiencing post-labor pain or anxiety.
IntelliRoll: The Foam Roller With Curve Appeal
You don't have to be an athlete to use this innovative foam roller. Its unique curves can hit the contours of your body that traditional foam rollers can't reach.
FDA Urges Parents to Throw Out Potentially Toxic Homeopathic Teething Tablets
The FDA has received over 400 reports of adverse reactions to Hyland's Teething Tablets, which contains the toxic substance belladonna and has been discontinued.
Fecal Transplants Shown to Improve Autistic Symptoms in Children
Overall, the children in the study saw a 25 percent improvement in behavioral symptoms and an improvement of 80 percent in gastrointestinal symptoms.
12 Emotional Stages of Dieting: The Long Road From Hangry to Happy
You're in good company if you've gone through these twelve stages of dieting.
Cold Weather May ‘Kickstart’ Flu Epidemics Each Year
Researchers found cold weather helps airborne particles containing liquid and virus — like from a sneeze — spread easily and quickly over larger distances.
Scientists Create First Human-Pig Hybrid in Breakthrough Study
The research could one day lead to the growth of human organs inside animals for transplant use.
Toddler Receives Life-Saving Surgery to Remove Rare 5-Pound Facial Tumor
At only 3 years old, Melyssa Delgado Braga’s face was being consumed by myxoma, a rare yet aggressive facial tumor.
Burnt Toast Can Lead to Cancer, Experts Warn
A new campaign seeks to warn the public about the cancer risks linked to eating over-cooked starchy foods like burnt toast and over-roasted potatoes.
Elephants May Hold the Key to Curing Cancer
Less than five percent of elephants get cancer in their lifetime, and an abundance of a cancer-fighting protein in their genetic makeup is likely the reason why.
This Woman Is Deadly Allergic To Nearly Everything — Including Her Husband
Johanna Watkins was diagnosed with MCAS, a rare immune disorder, in 2015, and with the diagnosis came several adjustments that needed to be made to she and her husband's everyday lives.
Canada’s ‘Poop Lady’ on Gut Health: It’s All in the Stool
Catherine Girard worked through the awkwardness of collecting stool samples door-to-door to research the microbiomes of Inuit people in Canada.
Cybersecurity Flaw Leaves Some Pacemakers Vulnerable to Hacking
The maker of these pacemakers is addressing vulnerabilities revealed by a security flaw, and the company is still working to quickly fix other potential cyber security patches.
Sorry Sushi Lovers, Your Salmon May Have A Japanese Tapeworm
If you're an avid sushi eater, you may want to hold off on those salmon rolls right now.
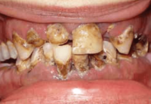
‘Mountain Dew Mouth’ May Rot Your Teeth Like Doing Meth
This condition may make you think twice before raising a can of soda to your lips.
Common Alzheimer’s Drug May Cure Tooth Decay
Restoring the tooth’s dentine structure using this drug, instead of cement fillings, has the potential to eliminate issues like tooth decay and erosion.
Why Your Workout Routine May Not Be Working for You
There's a simple way to test whether or not your current workout routine is proving to be beneficial.
Here’s Why You Get The Drunk Munchies
It turns out that there's a specific neurological response that triggers the often unhealthy late-night eating habits that follow a night of drinking.
Try These 5 Natural Cough Remedies
There's no need to leave the house to treat a persistent cough, so long as you've got these commonly found remedies around.
‘Tree Man’ Has Surgery to Remove Branch-Like Hands
A man dubbed as such for his tree-like hands finally finds relief from this extremely rare condition, thanks to the kindness of doctors in Bangladesh.
Some People’s Brains Are Wired to Not Enjoy Music
While specific musical anhedonia isn't a brain disorder, it is a fascinating condition that explains why some people feel no emotional response when listening to music.
Trouble Sticking to Your Diet? Try Looking at Art
Researchers noticed this one outcome when people focused on dieting were shown art depicting slim body types.
Drug Lawsuit: Popular Memory Pill Accused of Being a ‘Fraud’
The plaintiffs cite an inconclusive study in their claim that the memory-boosting supplement, Prevagen, doesn't provide substantive health benefits.
Lawsuit Claims St. Ives Apricot Scrub Causes Skin Damage
See which ingredient the plaintiffs claim to be harmful to skin.
New Earwax Guidelines: Put Down the Cotton Swabs
Placing small objects in your ear canal can potentially damage this sensitive area.
Far Fewer People Are Dying From Cancer — Here’s Why
Cancer rates have dropped to their lowest levels in more than two decades.
Discovery of New Human Organ Is Changing Medicine
Researchers have confirmed a long-ago speculated fact about this vital organ.
Here’s What Happens in Your Brain When You Talk Politics
A new study may shed some light on why we get so passionate about politics.




























































